嗨嗨~各位小仙女们!今天要来聊聊一个听起来有点专业,但其实超级温柔又神奇的小检查——宫腔三维超声检查!它就像是给咱们的“宝宝宫殿”(也就是子宫)拍一套高清3D艺术照的魔法相机!一起来揭开它的神秘面纱吧~
什么是宫腔三维超声呀?
想象一下,普通的B超就像是在看一张平面的小照片,只能看到宫殿的某一个角度。而我们的宫腔三维超声,那可厉害啦!它用的是超级聪明的“魔法声波”,可以绕着宫殿“嗖嗖嗖”地转圈圈,拍下成千上万张不同角度的照片,然后像搭积木一样,“唰”地一下在电脑里重建出一个立体的、360度无死角的宫殿模型!
是不是感觉像在看3D电影一样酷?这样超声医生就能更清楚、更全面地看到你“小宫殿”里面的样子啦!
为什么要给我的“小宫殿”
拍3D照呢?
当然不是随便拍拍啦!这个小魔法相机拍出来的立体照片,能帮医生发现很多普通照片看不清楚的小细节:
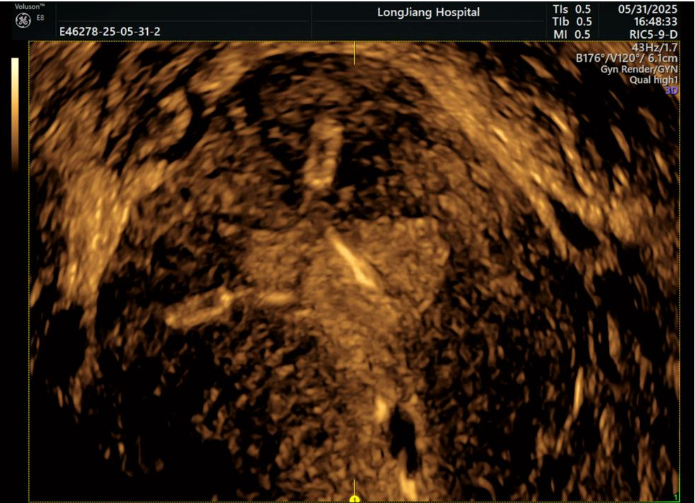
1. 检查“宫殿”的形状:看看咱们的宫殿是不是漂漂亮亮的“梨子形”?有没有被奇怪的“隔墙”(纵隔子宫)或者小角落(单角/双角子宫)挡住啦?这些可是会影响未来小王子/小公主入住的关键哦!

(不完全性纵膈子宫)
2. 看看“天鹅绒地毯”好不好:子宫内膜就是宫殿里软软暖暖的地毯啦!三维超声能看清地毯的厚度、均匀不平整?有没有小息肉(地毯上凸起的小疙瘩)?或者粘连(地毯黏在一起了)?
3. 找找“神秘小房间”:宫殿壁上有没有偷偷长出小肌瘤(黏膜下肌瘤)?或者一些剖腹产术后有没有留下一个小房间。
4. 复查“小宫殿”装修效果:如果之前做过宫腔镜手术(比如切息肉、分离粘连),用三维超声复查效果就超直观啦!

(节育环嵌顿)
5. 看看小王子/小公主的入住位置是否正确:有一小部分会入住在宫角或者输卵管间质部。

(右侧宫角妊娠)
6. 看看“小门廊”通不通:子宫角连接着输卵管(迎接小天使的通道),借助神秘药水(超声造影剂),三维超声能更清楚地看这个连接处通不通畅,有没有堵塞。

(子宫输卵管四维造影)
那么做这个检查会痛吗?放!轻!松!宫腔三维超声检查方式与普通阴超一样,大部分小姐姐只会觉得有一点点胀胀的、怪怪的感觉,但不会很痛哦! 放轻松配合医生就好啦!而且速度很快。
做检查前要做哪些小准备呢?不需要的。
总结一下检查的优点
* 看得超清楚!360度立体成像,“宫殿”细节一览无余。
* 无创无辐射!安全又放心。
* 操作相对简单,大部分情况不痛(可能有点胀)。
* 对找“宫殿”结构问题特别拿手!是评估生育环境的小能手!
保持好心情,配合医生,检查很快就搞定啦!祝每位小仙女的“小宫殿”都健健康康,漂漂亮亮!
想了解更多,欢迎到顺德区第五人民医院(龙江医院)超声科预约咨询电话:0757-23881939
科室专家简介

朱秀蕾
超声科
副主任医师
曾于中山大学附属第一医院进修,并多次参加各种超声专家短期培训班,
擅长:妇产科超声(四维产前筛查、胎儿彩超、阴超等),四肢、外周、腹部大血管彩超,浅表包块,乳腺、甲状腺等浅表器官、腹部彩超,辅助临床穿刺定位等超声诊断。

李力
超声科
主治医师
毕业于广东医科大学临床专业,有妇产科临床工作经验,曾在佛山市第一人民医院进修产前超声诊断现为广东省泌尿生殖协会超声医学分会委员。
擅长:妇产科超声诊断,尤其产前超声检查。
供稿:超声科 李力
编辑:党委办 赖慧瑜
校对:黄颖欣 冯巧慧
编审:李明华
配资炒股最新
富牛平台提示:文章来自网络,不代表本站观点。